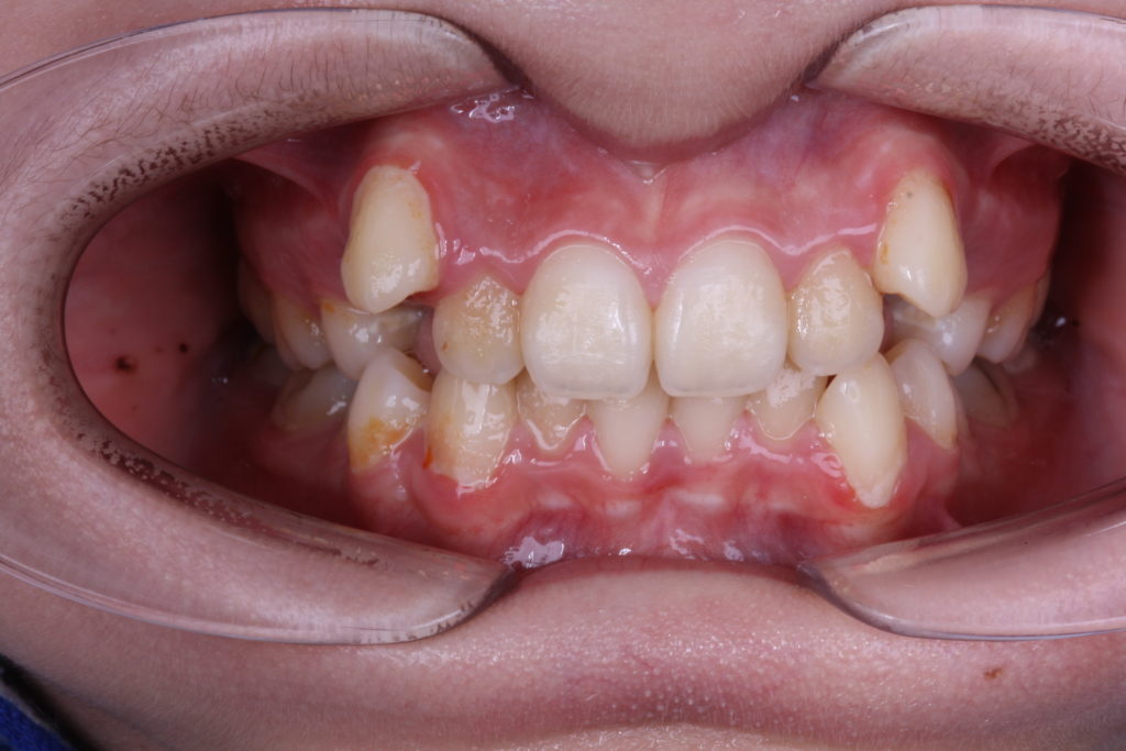
Severe crowding and a full class II molar relationship treated with conventional brackets
This patient came to my office at the age of 13 for ortho treatment. Her main concerns were crowding and high upper canines. Patient had severe crowding on upper jaw and had a full class II molar relationship. I decided to extract upper first premolars and start the treatment with fixed appliances (brackets).

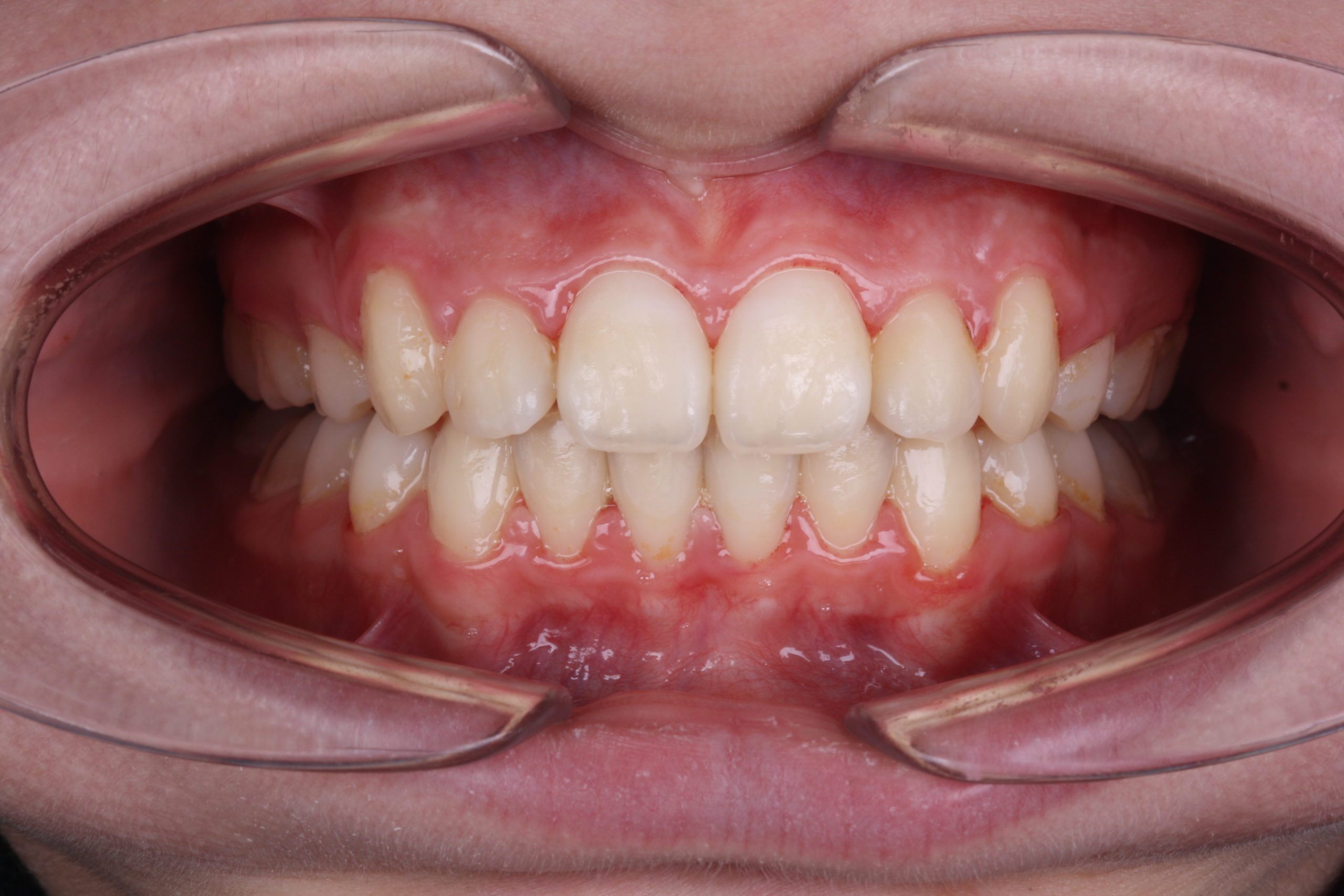
I haven’t used any device for anchorage control, just the braces. I’ve included upper second molars for anchorage. I’ve started with early light elastics for high canines. I applied IPR for lower teeth to help with the crowding. Treatment lasted 12 months.

I’ve used BioMax braces (MBT .022 slot) for this treatment. I choose BioMax for its unique and minimalist design. Patients with smaller teeth especially work well with BioMax.
My experience with BioMax went very well with this case. Teeth moved smoothly and I didn’t need an additional device for anchorage. Teeth have aligned well, the final position of the teeth was satisfying. Tip, torque and in-out values expressed well on the teeth. Lastly, total treatment time was fairly impressive (12 months).




