Mordida aberta: o que é e quais são os tratamentos

A mordida aberta é uma condição ortodôntica que afeta não apenas a estética do sorriso, mas também a funcionalidade da oclusão dentária.
Esta maloclusão, caracterizada pela falta de contato vertical entre os dentes superiores e inferiores, representa um desafio significativo tanto para pacientes quanto para profissionais da ortodontia.
Compreender suas causas, tipos, consequências e opções de tratamento é fundamental para abordar eficazmente esta condição.
Neste texto, explicaremos em detalhes o que é a mordida aberta, suas origens, manifestações e as diversas abordagens terapêuticas disponíveis. Continue a leitura!
O que é mordida aberta?

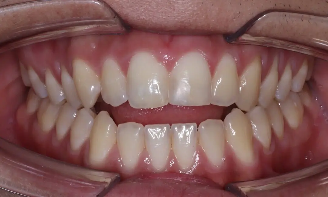
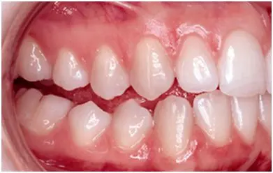
A mordida aberta é definida como uma maloclusão caracterizada pela ausência de contato vertical entre os dentes antagonistas em uma área específica da arcada dentária, quando o paciente está em oclusão cêntrica. Em termos mais simples, é uma condição em que existe um espaço entre os dentes superiores e inferiores quando a boca está fechada.
Esta condição pode ocorrer na região anterior (entre os incisivos), sendo então chamada de mordida aberta anterior, ou nas regiões posteriores (envolvendo pré-molares e molares), conhecida como mordida aberta posterior.
A severidade pode variar desde um pequeno espaço entre alguns dentes até uma separação significativa que se estende por vários elementos dentários.
O que causa a mordida aberta
A mordida aberta tem etiologia multifatorial, podendo ser ocasionada por fatores diferentes a depender de cada paciente. Dentre os principais fatores relacionados com o desenvolvimento da mordida aberta, podemos citar:
- Fatores Genéticos: Padrões de crescimento esquelético herdados podem predispor um indivíduo à mordida aberta.
- Hábitos Parafuncionais: Sucção digital prolongada, uso excessivo de chupeta ou mamadeira, e interposição lingual são hábitos que podem contribuir significativamente para o desenvolvimento da mordida aberta.
- Problemas Respiratórios: Respiração bucal crônica, devido a obstruções nasais ou alergias, pode alterar o padrão de crescimento facial e contribuir para a mordida aberta.
- Postura Lingual Inadequada: Uma posição de língua baixa e anteriorizada pode impedir o contato adequado entre os dentes anteriores.
- Anquilose Dentária: A fusão de um dente ao osso alveolar pode resultar em sua infraoclusão, levando a uma mordida aberta localizada.
- Crescimento Vertical Excessivo: Um padrão de crescimento facial hiperdivergente pode resultar em uma mordida aberta esquelética.
- Trauma: Lesões na região maxilofacial podem afetar o crescimento e desenvolvimento normais, resultando em mordida aberta.
Sintomas da mordida aberta
Os sintomas da mordida aberta também podem ser bastante diferentes em cada paciente. Há pessoas que sentem muito desconforto para respirar, outros relatam apenas o conforto estético, enquanto outros relatam a dificuldade durante a mastigação e fala.
Todos esses sintomas podem estar associados à presença da mordida cruzada. De um modo geral, ela gera:
- Espaço visível entre os dentes superiores e inferiores ao sorrir ou falar.
- Dificuldade em morder e mastigar certos alimentos, especialmente aqueles que requerem o uso dos dentes anteriores.
- Problemas na pronúncia de certos sons, particularmente os sibilantes como “s” e “z”.
- Aparência facial alterada, com possível projeção do lábio inferior.
- Em alguns casos, desconforto na articulação temporomandibular (ATM) devido à distribuição inadequada das forças oclusais.
- Desgaste excessivo dos dentes posteriores, que suportam mais carga devido à falta de contato anterior.
- Autoestima reduzida devido à aparência do sorriso.
Tipos de mordida aberta
A mordida aberta pode ser classificada em diferentes tipos, dependendo de sua localização e extensão:
Unilateral

A mordida aberta unilateral ocorre apenas em um lado da arcada dentária. Pode ser resultado de hábitos assimétricos, como sucção de dedo de um lado específico, ou de problemas de crescimento unilaterais.
Bilateral

A mordida aberta bilateral afeta ambos os lados da arcada de forma simétrica. É frequentemente associada a padrões de crescimento vertical excessivo ou a hábitos orais persistentes que afetam toda a região anterior.
Posterior

A mordida aberta posterior é menos comum e envolve a falta de contato entre os dentes posteriores (pré-molares e molares). Pode ser resultado de anquilose dentária, erupção incompleta ou problemas no desenvolvimento vertical da maxila ou mandíbula.
Lateral

A mordida aberta lateral ocorre nas regiões de caninos e pré-molares. Pode ser causada por hábitos específicos, como morder objetos, ou por discrepâncias no crescimento das bases ósseas.
Possíveis consequências da mordida aberta
Se não tratada, a mordida aberta pode levar a várias consequências, indo de problemas funcionais à estéticos e, consequentemente, impactando na qualidade de vida do paciente.
Entre as consequências diretamente voltadas à boca, está a dificuldade na mastigação e na fala, e o desgaste dentário, que pode ocorrer devido a sobrecarga oclusal dos dentes posteriores. Mais do que isso, a sobrecarga oclusal pode gerar instabilidade na oclusão e problemas periodontais.
Ainda, dentro do sistema estomatognático, a mordida aberta pode afetar a ATM, por conta da distribuição inadequada de forças oclusais sobre a articulação temporomandibular. E, dentro do sistema respiratório, a mordida aberta anterior também atua como um fator de risco para a respiração bucal, bem como a respiração bucal impacta negativamente na mordida aberta anterior.
Por fim, também há os prejuízos estéticos, visto que a aparência do perfil facial e do sorriso fica comprometida, afetando, muitas vezes a autoestima e autoconfiança do paciente.
Formas de tratamento da mordida aberta
A mordida aberta é uma condição complexa que requer uma abordagem multidisciplinar para seu diagnóstico e tratamento. A compreensão de suas causas, tipos e consequências é fundamental para o desenvolvimento de um plano de tratamento eficaz. As opções terapêuticas, desde aparelhos fixos tradicionais até alinhadores invisíveis e cirurgia ortognática, oferecem uma gama de possibilidades para abordar esta maloclusão.
À medida que a tecnologia e as técnicas ortodônticas continuam a evoluir, espera-se que surjam novas e mais eficientes formas de tratar a mordida aberta. No entanto, a base do tratamento bem-sucedido sempre residirá em um diagnóstico preciso, um planejamento cuidadoso e uma execução habilidosa do plano de tratamento escolhido. As principais abordagens incluem:
Uso de aparelhos fixos
Os aparelhos ortodonticos fixos são uma opção tradicional e eficaz para o tratamento da mordida aberta. Eles permitem um controle preciso do movimento dentário em todas as direções.
O tratamento pode incluir uso de elásticos verticais para promover a extrusão dos dentes anteriores; mecânicas de intrusão dos dentes posteriores para permitir a rotação mandibular; controle vertical através de arcos de intrusão e extrusão; em alguns casos, o uso de mini-implantes ortodônticos (dispositivos de ancoragem temporária) para facilitar movimentos específicos sem efeitos colaterais indesejados.
O tratamento com aparelhos fixos geralmente oferece resultados previsíveis, mas requer um compromisso significativo do paciente em termos de higiene oral e adesão às instruções do ortodontista.
Alinhadores transparentes
Os alinhadores transparentes têm se tornado uma opção cada vez mais popular para o tratamento da mordida aberta, especialmente em casos menos severos. As vantagens incluem a estética superior, sendo praticamente invisíveis; conforto melhorado em comparação com aparelhos fixos convencionais e a facilidade de higienização, pois são removíveis.
O tratamento com alinhadores para mordida aberta frequentemente envolve o uso de attachments específicos para facilitar movimentos de extrusão e intrusão; sequência cuidadosamente planejada de movimentos dentários; possível uso de elásticos em conjunto com os alinhadores para fechamento da mordida.
É importante notar que nem todos os casos de mordida aberta são adequados para tratamento com alinhadores, e a seleção cuidadosa dos casos é crucial para o sucesso.
Cirurgia ortognática
Em casos de mordida aberta esquelética severa, especialmente em adultos, a cirurgia ortognática pode ser necessária. Este procedimento envolve o reposicionamento cirúrgico da maxila e/ou mandíbula para corrigir discrepâncias esqueléticas, geralmente combinada com tratamento ortodôntico pré e pós-cirúrgico e pode resultar em mudanças significativas na estética facial e na função oclusal.
A cirurgia ortognática é considerada em casos nos quais o tratamento ortodôntico isolado não seria suficiente para alcançar resultados estáveis e funcionais.
Conclusão
A mordida aberta pode ser tratada com êxito pela ortodontia, porém lembre-se sempre que o sucesso do tratamento depende não apenas da escolha da modalidade terapêutica adequada, mas também da colaboração do paciente e do acompanhamento cuidadoso por parte do profissional.
É importante ressaltar que o tratamento precoce, quando possível, pode simplificar significativamente a abordagem e melhorar o prognóstico.
Leia mais conteúdos do blog da Aditek, feito por especialistas da área, e conheça os produtos de alta tecnologia da marca!
Referências:
https://www.saudebemestar.pt/pt/medicina/dentaria/mordida-aberta/
https://publicacoes.unicid.edu.br/revistadaodontologia/article/view/682



